Heart Model
Opened
Closed
Slides:
Anemic Infarct
Artery and Vein
Atherosclerosis
Cardiac Muscle
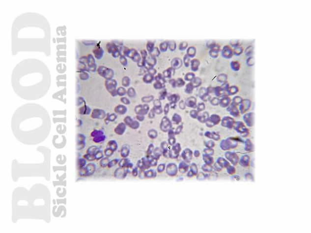
Sickle Cell
Thrombosis
WBCs