Heart Model

      Opened

     Closed

Slides:

  Anemic Infarct

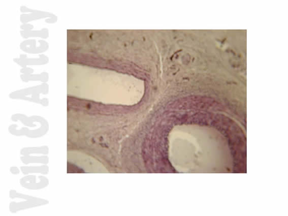
  Artery and Vein

  Atherosclerosis

  Cardiac Muscle

  Sickle Cell

  Thrombosis

  WBCs