Larynx Model

Trachea Model

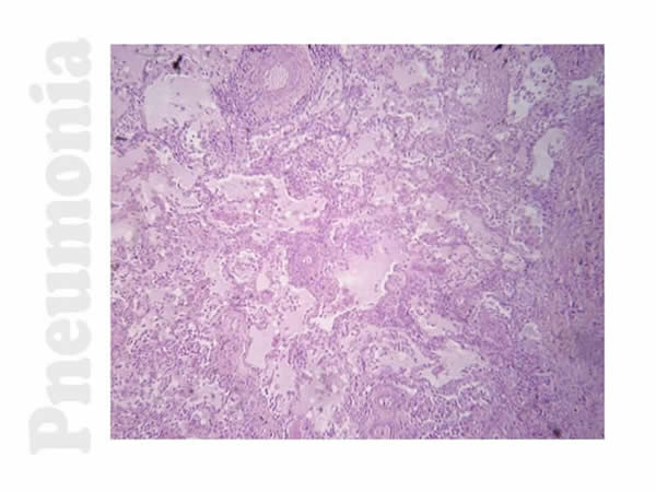
Slides:

  Emphysema

  Pneumonia